Smile Gallery

Back | Next

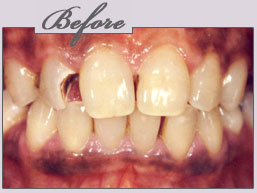
new york porcelain veneers

 

Home I Meet Dr. Zusin I Why Choose Us I Pain-Free Dentistry I Solutions I Smile Gallery I Patient Forms I Contact Us
© 2004 Dental Excellence Boris Zusin, DDS Site designed and maintained by TNT Dental